Quando si pensa all’osso si pensa fondamentalmente alla sua funzione meccanica di sostegno del corpo umano, di cui permette il movimento. Ma il suo ruolo è più complesso. Nella sua struttura rigida, grazie ai sali di calcio e fosfato ivi depositati, oltre alle cellule specifiche osteoblasti e osteoclasti, si trovano le cellule staminali ed i progenitori delle cellule del sangue che qui si moltiplicano prima di andare in circolo. La disponibilità di fosfato per la sintesi del DNA lo rendono il luogo ideale per la proliferazione cellulare nel midollo osseo, ma è anche deposito di calcio e fosfato per rifornire tutte le cellule del corpo umano, quando ne hanno bisogno per le loro funzioni.
Nonostante l’idea di struttura immobile è stabile che l’osso da, se lo guardiamo a scala microscopica in realtà l’osso è estremamente dina
mico perché la sua struttura in molte parti è spugnosa, formata di trabecole orientate nello spazio in funzione del carico a cui sono sottoposte. E’ un tipo di architettura estremamente sofisticata in grado di sopportare il maggior carico possibile, con la minore quantità di minerali e di peso, e in continuo rimodellamento, sulla base del tipo di carico a cui è sottoposto.
Questa capacità di avere una struttura leggera e al tempo stesso resistente e adattabile, è basata su un meccanismo estremamente semplice: quando l’osso riceve uno stimolo tale da farlo accorciare lievemente, il movimento del fluido intracellulare contro gli osteoblasti gli fa attivare la vitamina D a 1,25-Vit D che stimola la deposizione di minerali, fino a che l’osso non è sufficientemente rigido da non essere deformato dal carico.
Questo meccanismo spiega anche una osservazione molto comune: che i bambini
crescono a scatti, qualche centimetro, poi si fermano e così via. L’ormone della crescita (GH), fa crescere la parte proteica dell’osso che rimane meno rigido e quindi comprimibile col movimento. L’accorciamento induce sintesi di 1,25-Vit D che blocca l’ormone della crescita. Fino a quando l’osso non è perfettamente rigido; solo allora si riduce la VitD e si riattiva il GH. Questo significa che i bambini con poca vitamina D potranno crescere troppo e piegarsi (scoliosi) e gli adulti potranno avere un aumento di dimensioni della mandibola, mani e piedi (acromegalia).
Osteoporosi
Questo tipo di struttura trabecolare, può presentare trabecole più o meno spesse e robuste a seconda della dieta, del carico e della richiesta di calcio e fosforo da parte dei tessuti periferici del corpo umano. Quando le trabecole si assottigliano troppo parliamo di osteoporosi, una situazione che si accompagna ad un aumento di fratture per traumi anche di piccola entità.
wikipedia
Tale situazione è molto frequente nell’anziano, sia per la mancanza di ormoni, sia per la dieta spesso più povera, ma soprattutto per l’inattività fisica.
Un’altra possibile causa di osteoporosi è la presenza di cellule attivamente proliferanti come i linfociti nelle malattie infettive croniche con aumento dei globuli bianchi, nelle leucemie o in varie forme di tumore solidi. Quando manca il fosforo per la duplicazione del DNA, i tessuti producono sostanze che vanno a stimolare gli osteoclasti che liberano calcio e fosfati. Il fosfato è usato dalle cellule e il calcio nel sangue è spesso alto.
Un paradosso: il calcio alto nel sangue mi dice che non ne ho più nell’osso.
Il ruolo della vitamina D
Tutti sanno che la Vitamina D si forma nella pelle, ma quasi nessuno sa che per funzionare la vitD deve venire idrossilata (aggiungere un OH) prima in 25 (nel fegato), poi in 1 nei tessuti periferici, rene, osso, pelle).
Il che significa che fuori c’è il sole, che il mio fegato è ben nutrito e che in tutti gli organi il sangue deve circolare bene e non ci deve essere abbastanza emoglobina per trasportare l’ossigeno.
E c’è un altro particolare: per attivare la vitamina D e attivare l’assorbimento del Calcio, che regola tutte le attività cellulari oltre a essere depositato nell’osso, occorre l’eme, questo sconosciuto.
L’eme viene sintetizzato nel mitocondrio
Per la sua sintesi richiede, ferro, estrogeni, glicina e anione superossido che è proporzionale a quanto è attiva la respirazione mitocondriale, che dipende dall’attività fisica e dalla disponibilità di Coenzima Q10, Ac. Lipoico e cytC.
Non è chiaro se ci siano sensori per il fosforo, di certo ci sono sensori per il Ca++ basso che stimolano la produzione di paratormone (PTH). L’urgenza di normalizzare il calcio nel siero fa si che il PTH attivi l’idrossilazione in 1 con aumento di attività della VitD, che da un lato aumenta l’assorbimento del Ca++ dall’intestino, dall’altra aumenta la demolizione dell’osso.
Un altro importante dato di cui bisogna sempre tenere conto è che la vitamina D è di fatto un ormone e pertanto sono possibili interferenze con altri ormoni con struttura simile, come gli ormoni steroidei.
Effettivamente il responsabile più comune del fallimento dell’azione della vitamina D è il cortisolo, che viene prodotto in quantità superiore in tutta una serie di situazioni, che indicativamente potremmo indicare con il nome di stress, sia fisico che psicologico.
Occorre ricordare che molte attività umane che noi consideriamo in maniera positiva, perché portano ad un successo, in realtà quando ci inducono a superare i nostri limiti possono aumentare la quantità di cortisolo prodotto, con danni anche consistenti sul nostro osso. Gli allenamenti per corse prolungate come la maratona, il sollevamento pesi per aumentare la massa muscolare e altre attività di questo tipo possono in realtà rappresentare più che uno stimolo positivo uno stimolo negativo per la salute del nostro corpo.
Senza dimenticare l’uso di terapie prolungate a base di cortisonici o di diuretici, che aumentando la perdita di sodio a livello renale, costringono l’organismo ad aumentare i livelli di cortisolo.
L’osso come sede del midollo osseo
Il fatto che l’osso sia una struttura statica, e pertanto in grado di fornire all’interno delle cavità di questa struttura spugnosa un ambiente tranquillo in cui le cellule non sono stimolate da nervi e non sono compresse dalle cellule vicine, ne fa il luogo ideale per la moltiplicazione delle cellule del nostro sangue, ma anche il deposito delle cellule staminali per tutto il corpo.
Nel midollo osseo un insieme di cellule vivono in un ambiente protetto in cui il fibrinogeno stravasato dei vasi forma dei coaguli su cui tutti i precursori delle cellule del sangue si moltiplicano, utilizzando gli aminoacidi della fibrina per duplicarsi.
Questo grazie alla disponibilità di glucosio, aminoacidi e proteine da parte del sangue, ma soprattutto di calcio e fosforo ricavati direttamente per azione degli osteoclasti dalle trabecole di osso.
Nel midollo osseo le varie linee cellulari convivono regolando la proliferazione dell’uno o dell’altro stipite sulla base di una serie di molecole come le eritropoietina per i globuli rossi e di altre molecole segnale che bloccano la proliferazione delle linee concorrenti nello spazio chiuso del midollo.
Come si vede nella foto, nel bambino piccolo il midollo osseo è ubiquitario, mentre nell’adulto si riduce al tronco, al bacino, alla testa, scomparendo dagli arti più stimolati meccanicamente.
Da notare che la scomparsa del midollo osseo rende l’osso nel suo insieme incapace ad adattarsi ai cambiamenti del carico. L’aumento delle fratture del collo del femore nell’anziano deriva dalla scomparsa con la menopausa del midollo osseo dal collo stesso.
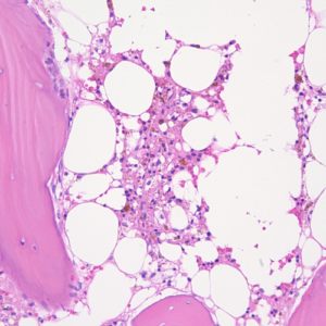
Quando tali cellule non riescono a proliferare perché gli manca un elemento essenziale come il ferro, essi utilizzano tutti i nutrimenti disponibili e soprattutto il glucosio per trasformarsi in adipociti.
Questo conferma il dato che gli adipociti non sono diversi strutturalmente dalle cellule che proliferano ma differiscono da queste in funzione della disponibilità di nutrienti ambientali nella nicchia in cui si trovano.
Anche se di aspetto sono diversi, gli adipociti conservano la capacità di riprodursi, se messi in condizioni adatte.